انتشار اولین نتایج پروژه عظیم نگاشت مغز
پروژه تصویربرداری بانک داده های بیولوژیکی انگلستان با هدف پیگیری سلامت مغز در صد هزار نفر در حال انجام است. این مطالعه در راستای کشف چگونگی شکل گیری بیماری ها طراحی شده است.

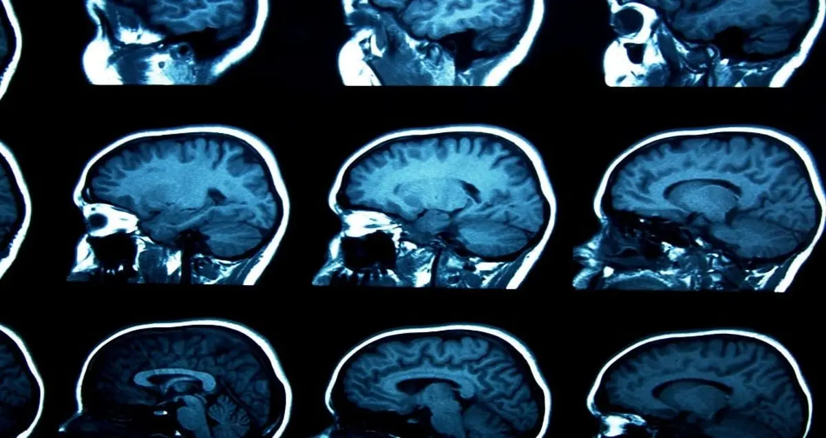
به گزارش کلیک، هفته گذشته نتایج اولیه پروژه Biobank Imaging یا مطالعه تصویربرداری بانک داده های بیولوزیکی انگلستان منتشر شد. در این پروژه از مغز ۱۰۰ هزار نفر اسکن گرفته شده است و داده های آن برای بررسی پیشرفت بیماری ها در دوران سالمندی مورد استفاده قرار گرفته است.
با نگاه زیر چشمی به یافته های اولیه این پروژه می توان فهمید که این مطالعه شامل گنجینه عظیمی از داده های سلامت تصویربرداری رزونانس مغناطیسی یا MRI و دیگر اندازه گیری های مغز است.
این مطالعه یکی از پروژه هایی است که رویکرد در سطح جامعه جهانی دارد و برای درک بهتر بیماری ها انجام می شود و بخشی از یک جنبش جهانی در پژوهش های مشترک مغز در حیطه علوم اعصاب است.
بسیاری از بیماری هایی که با بالا رفتن سن ما را درگیر می کنند، از دیابت گرفته تا زوال عقل، تا زمانی که علایم شروع شوند هیچ راهی برای جلوگیری از آن ها وجود ندارد. ولی واقعیت این است که در بدن ما علایم ظریفی بسیار زودتر از شروع علایم بیماری وجود دارد. این همان چیزی است که مطالعه تصویر برداری بانک زیستی می خواهد به آن دست یابد.
آنچه پژوهشگران در این مطالعه به دنبال آن هستند این است که عوامل مختلفی که می تواند بیماری ها را قبل از شروع شناسایی کند بیابند. این گونه از مطالعات به عوامل مختلفی از جمله عوامل دموگرافیک، سبک زندگی، تحلیل بیان ژن و آزمایش های عمیق پزشکی در سطح جامعه نیاز دارد.
در این مطالعه افرادی در محدوده سنی ۴۰ تا ۶۹ سال انتخاب شدند و شش نوع مختلف از اسکن MRI که آناتومی مغز، ساختار، عملکرد و اتصال مغز را ثبت می کند، به همراه اسکن از دیگر ارگان های بدن انجام دادند. اسکن ها در سه مرکز تصویر برداری در انگلستان انجام گردید و نتایج اولیه در نشریه Nature Neuroscience منتشر شد .
داده های این مطالعه واقعا خاص و منحصر به فرد هستند. داده های صد هزار نفر در این مطالعه یک آرایه گسترده از بیماری های مرتبط با فرد و سن شخص است که به پژوهشگران کمک می کند از طریق خدمات ملی سلامت بریتانیا آن ها را پیگیری کنند.
اولین مجموعه از داده ها، شامل هزاران همبستگی معنادار بین داده های مختلف سلامت است. به عنوان مثال، نتایج اولیه نشان داد که ارتباط معناداری بین افزایش مصرف الکل و علایم آسیب اتصالات مغز وجود دارد، همچنین بین مصرف دخانیات و سیگنال های تصویربرداری مرتبط با افزایش ذخایر آهن در مغز ارتباط وجود دارد.
این همبستگی های ساده، و یا آن هایی که معنادار شده اند، نمی تواند وضعیت سلامت فرد را به صورت کامل مشخص کنند. ممکن است پژوهشگران میان اتصالات بین یک منطقه از مغز و سبک زندگی ارتباط معناداری پیدا کنند، اما سخت است که فهمید چرا این اتفاق می افتد؟
پژوهشگران در این مطالعه با این چالش روبرو شدند. داده هایی که پژوهشگران به آن ها دسترسی دارند، داده های مرتبط با نمونه ای از کل جامعه است که از داده های تصاویر مغزی گرفته تا داده های مرتبط با سلامت و سبک زندگی در آن یافت می شود و پژوهشگران می خواهند از این داده های گسترده و متنوع، به یک ترکیب از اندازه گیری ها که به طور همزمان به عوامل متعددی بستگی دارند دست یابند.
در این مطالعه پژوهشگران به الگوهای مستقلی از سالمندی دست یافته اند که با توجه به سبک زندگی و نقوشی در مغز بستگی دارند بدست آمده اند. پژوهشگران امیدوارند که این روابط پیچیده در نهایت به آن ها کمک کند که از اندازه گیری های سلامت برای پیش بینی یک بیماری خاص در فرد دست یابند و یا اینکه بتوانند پیش بینی کنند چه کسی به مداخلات انجام شده پاسخ مثبت خواهد داد.
روابطی که پژوهشگران در این مطالعه کشف کرده اند بسیار پیچیده هستند. پیچیدگی روابطی که پژوهشگران در این مطالعه قصد دارند به آن بپردازند می تواند نگران کننده باشد و محققان را با سوء تعبیر یا تفسیر بیش از حد روبرو سازد.
پژوهشگران امیدوار هستند که مطالعه آن ها با پژوهش های وسیع دیگر در کشورهایی مانند هلند یکپارچه گردد تا در مورد بیماری های نادر مانند سرطان بیضه یا اسکلروزیس آمیوتروفیک جانبی نیز نتایج با ارزشی به دست آید.
مانند دیگر پروژه های گسترده از جمله پروژه کانکتوم بشر و یا اطلس مغز آلن، مجموعه داده این مطالعه نیز دارای دسترسی آزاد است و پژوهشگران در هر منطقه از جهان می توانند برای تحقیقات خود یا پیگیری مطالعات دیگر به این داده ها دسترسی داشته باشند. پژوهشگران برای مطالعه نحوه دسترسی به داده های این پروژه می توانند به اینجا مراجعه کنند.