هوش مصنوعی
فناوری
اپلیکیشن و نرمافزار
شبکههای اجتماعی
فناوری ایران
لپتاپ
موبایل و تبلت
سختافزار
علم و دانش
گجتها
بانک
بورس
بیمه
خودرو
کسبوکارها
وب گردی
سهشنبه ۲۲ مهر ۱۴۰۴
مهرنوش چمنی
آخرین خبرها
ویژگیهای جدید اینستاگرام برای صاحبان مشاغل
۱۳۹۵/۰۳/۱۷ ۰۸:۳۰
روش جدید خلافکارها در فرار از رادارهای سرعت سنج بزرگراه
۱۳۹۵/۰۳/۱۷ ۰۸:۲۶
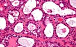
چاپ سه بعدی تومور برای یافتن راه حل این بیماری
۱۳۹۵/۰۳/۱۱ ۱۵:۴۵
صفحه نمایش جدید برای محافظت از چشم
۱۳۹۵/۰۳/۱۱ ۱۱:۵۶
پخش گفتگوی زنده مالک فیسبوک با ساکنین ایستگاه فضایی
۱۳۹۵/۰۳/۱۰ ۱۸:۵۳
روش های ردیابی تلفن همراه گمشده افراد
۱۳۹۵/۰۳/۱۰ ۰۶:۳۵
شرکت میزو بلندگوی معلق میسازد
۱۳۹۵/۰۳/۰۸ ۱۷:۴۱
چرا مایکروسافت همچنان انتخاب کلمه عبور ضعیف Pa$$w0rd1 را قبول می کند؟
۱۳۹۵/۰۳/۰۸ ۱۳:۵۷
ایجاد سیستم تحلیل تصاویر پزشکی
۱۳۹۵/۰۳/۰۷ ۰۹:۱۸
کسب و کار خود را در نقشه جدید گوگل مشخص کنید
۱۳۹۵/۰۳/۰۶ ۱۸:۱۴
>