آلزایمر سلول های بیدار نگهدارنده افراد را تحت تاثیر قرار می دهد

رسانه کلیک – محققان کشف کرده اند که بیماری آلزایمر سلول های بیدار نگهدارنده افراد را تحت تاثیر قرار می دهد. این اکتشاف می تواند علت خواب آلودگی این بیماران در طول روز را توجیه کند.

آلزایمر سلول های بیدار نگهدارنده افراد را تحت تاثیر قرار می دهد

مشکلات خواب می تواند دهه ها پیش از بروز بیماری های مرتبط با زوال عقل از جمله آلزایمر رخ دهد. با این حال، مطالعه جدیدی نشان می دهد که مشکلات خواب ممکن است بخشی از این گونه بیماری ها نیز باشند.

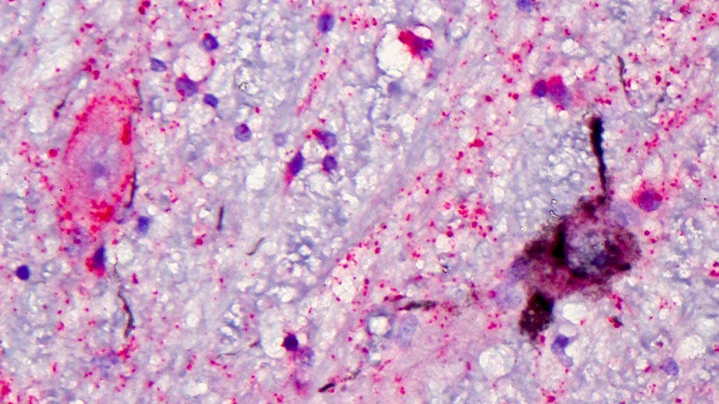
دانشمندان روی ساقه مغز و ساختاری بالاتر از آن به نام هیپوتالاموس تمرکز کردند. این بخش های سیستم عصبی در کنار یکدیگر به بیدار نگه داشتن افراد و توجه کردن آن ها کمک می کنند. به نظر می رسد تاکنون در مطالعات مرتبط با بیماری های زوال عقل توجه چندانی به ساقه مغز و سیستم های اطراف آن نشده بود. در این مطالعه دانشمندان به دنبال نشانه هایی از پروتئین تاو در مغز افرادی گشتند که بر اثر آلزایمر جان خود را از دست داده بودند. این پروتئین موجب در هم ریختگی سلول های عصبی می شود.

سه بخش کوچک از هیپوتالاموس و ساقه مغز که معمولا شامل سلول های عصبی بیدار نگهدارنده افراد در طول روز هستند، دارای تاو بودند. دو بخش از این سه بخش نیز بیش از 70 درصد از سلول های عصبی خود را از دست داده بودند. این نابودی سلولی می تواند توجیهی برای احساس خستگی و خواب آلودگی بیماران آلزایمری در طول روز باشد.

با توجه به تحقیقات جدید، به نظر می رسد دانشمندان باید در تحقیقات بعدی خود در رابطه با بیماری های زوال عقل از جمله آلزایمر، توجه بیشتری به ساقه مغز و نواحی اطراف آن داشته باشند. این اقدامات می تواند اثرات این بیماری ها را تا حد زیادی کاهش دهد.

نکته جالب در رابطه با این تحقیق آن است که بیماران فوت شده بر اثر آلزایمر با بیماران دیگری که دارای سایر بیماری های مرتبط با زوال عقل بودند، مقایسه شدند. سلول های عصبی بیماران دیگر نیز درگیر پروتئین تاو بودند، اما این درگیری و نابودی سلول ها در بیماران آلزایمری بسیار بیشتر به چشم می خورد.

ارسال نظر